Стоматология "Металлокерамика" в г.Волгоград

Наши работы

  1. Главная
  2. »
  3. Наши работы

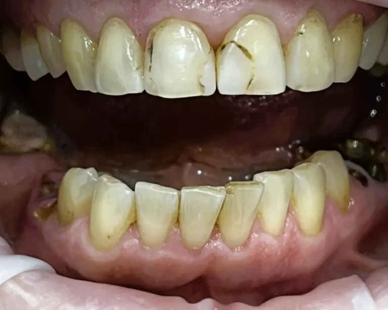
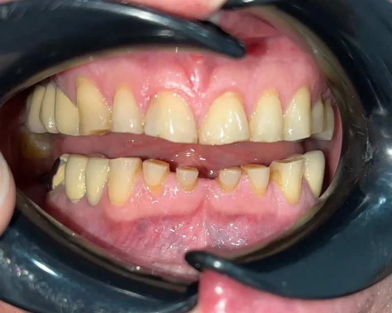
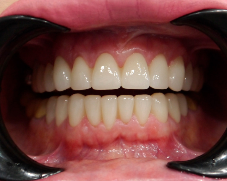
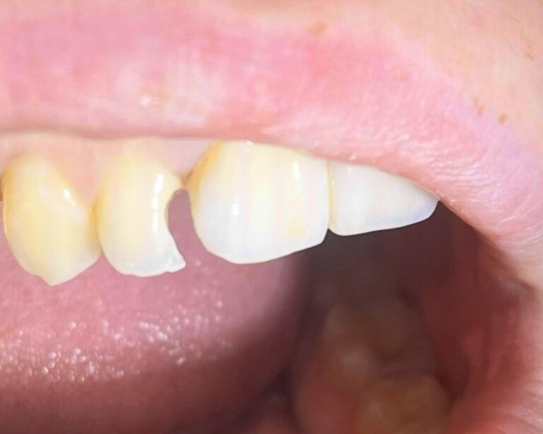
Цельнокерамические коронки из диоксида циркония на верхние и нижние зубы
Срок протезирования: 2 месяца Стоимость ортопедического лечения: 590 000 рублей.

Работа стоматолога-ортопеда
Сафронова Вячеслава Евгеньевича

Съемная челюсть. Верхняя челюсть на 4-х имплантах, нижняя на 6-ти имплантах.

Работа стоматолога-ортопеда
Асеева Александра Александровича

Протезирование коронками из диоксида циркония на имплантах и на недепульпированных (живых) зубах

Работа стоматолога-ортопеда
Асеева Александра Александровича

Протезирование коронками из диоксида циркония

Работа стоматолога-ортопеда
Асеева Александра Александровича

Протезирование коронками из диоксида циркония

Работа стоматолога-ортопеда
Сафронова Вячеслава Евгеньевича

Реставрация

Работа стоматолога-терапевта
Асеевой Натальи Петровны

Реставрация

Работа стоматолога-терапевта
Асеевой Натальи Петровны

Реставрация

Работа стоматолога-терапевта
Асеевой Натальи Петровны

Цельнокерамический мостовидный протез из 3-х единиц

Работа стоматолога-ортопеда
Сафронова Вячеслава Евгеньевича

4 коронки из диоксида циркония на передние зубы

Работа стоматолога-ортопеда
Сафронова Вячеслава Евгеньевича

Мостовидный протез на основе диоксида циркония на передние зубы

Работа стоматолога-ортопеда
Сафронова Вячеслава Евгеньевича

Металлокерамический мостовидный протез на верхнюю челюсть

Работа стоматолога-ортопеда
Сафронова Вячеслава Евгеньевича

На сайте
проводятся
технические работы

Нажимая на кнопку «Отправить отзыв» я даю свое согласие на обработку моих персональных данных в соответствии с требованиями Федерального закона от 27.07.2006г. № 152-ФЗ «О персональных данных».

Нажимая на кнопку «Отправить отзыв» я даю свое согласие на обработку моих персональных данных в соответствии с требованиями Федерального закона от 27.07.2006г. № 152-ФЗ «О персональных данных».

logo_

Обратиться за консультацией

logo_

Обратиться за консультацией